矯正治療
小児矯正
こんなお悩みはありませんか?
- 前歯が出ている
- 生えてきた歯がガタガタしている
- お口がポカンと開いている(口呼吸をしている)
- いびきをかく
- 歯ぎしりをする
- 唇を噛む癖がある
- 鼻炎・アレルギーがある
小児矯正では主に顎の成長を促す治療や、歯列の拡大を行うことで歯並びの土台作りとなる治療を行なっていきます。
永久歯が生え揃うまでに土台づくりを行うことで、成人矯正に移行した際も、歯を抜かずに治療できたり、より良い安定した噛み合わせが獲得できる可能性が大きくなります。
小児矯正治療の目的
-
永久歯が生え揃うためのスペースづくり
大人の歯は子供の歯よりも大きいため、スペースが必要です。 -
顎の正常な発育の誘導
食べる・話す・呼吸する、これらの機能を正常に発育させます。 -
不正咬合の原因の早期改善
不正咬合は歯並びが悪くなる要因の一つです。 -
悪い癖を修正する
癖が歯並びに大きな影響を与えます。 -
前歯を整えることで見た目をキレイに
自信を持って笑えるようになります。
特に口呼吸(お口ポカン)は、歯並びだけでなく全身の健康にも影響する悪い癖です。
口呼吸には以下のようなリスクがあります。
口呼吸のリスク
- 細菌に感染しやすくなる
- 免疫細胞が集まっている咽頭扁桃、口蓋扁桃、舌扁桃などが乾燥し腫れ、本来の働きをしない
- 口が渇き歯周病になりやすい
- 口が渇きだ液内の免疫能力が発揮されない
- 脳が冷えない(集中力が低下する)
- 睡眠の質が低下する
お口は呼吸器官ではなく消化器官です。口呼吸を続けると、呼吸しやすいように舌の位置、口蓋(上顎)の形、下顎の位置などが変化して歯並びに影響します。
矯正治療について
当院では、お子さまの成長発育と口腔周囲筋の機能を利用して、歯並びを治す歯列矯正「機能矯正」を行っております。
また、口呼吸などの歯並びに影響する癖を修正するトレーニングを指導いたします。
機能矯正とは
歯並びが悪くなってしまう原因にアプローチして、正しい顎顔面の発達と綺麗な歯並びを手に入れる治療法です。
顎やお顔が成長しきってしまう前に治療していくことで原因を除去し、抜歯しないといけなくなる可能性が低くなるため、6~7歳頃から始めるのが効果的です。
また、子供の骨は柔軟性があります。そのため痛みが少ない状態で治療ができます。0~18歳は将来の健康の土台づくりの時期です。大切な時期をどう過ごすかで生涯の健康を大きく左右します。
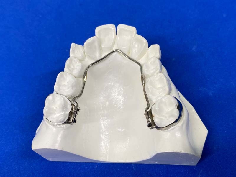
矯正の装置はお子さんの成長に合わせて様々な種類の中から最適なものを選択します。
使用する装置の例
矯正治療の流れ
- まずは、無料の矯正相談をお申込みください。
- 希望があれば、次に検査を行います。(歯型取り、お口やお顔などの写真撮影、X線撮影等)
※検査費:33,000円(税込) - 検査結果とお子さまの治療計画をお伝えします。
- お子さまに合った矯正装置、トレーニングで矯正治療をスタートします。
- 通常1~3ヶ月に1回の通院となります。
矯正治療の費用
オーダーメイドの装置やマウスピース型、床タイプの装置とトレーニングを組み合わせて行う機能矯正のコースです。
軽度の歯列不正の場合、マウスピースのみで治療を行えるケースもあります。まずはお気軽にスタッフにご相談ください。
| 機能矯正コース | 451,000円(税込) |
|---|---|
| その他費用 | 調整料:3,960円(税込)/回 検査費用:33,000円(税込) |
| マウスピースのみ (軽度の場合) |
165,000円(税込) |
成人矯正
矯正治療について
歯並びをきれいに整える治療です。自信を持って笑えるきれいな見た目だけでなく、呼吸や食事、会話や運動などの機能改善につながることもあります。
まずはお気軽にスタッフにご相談ください。
こんなお悩みはありませんか?
- 前歯が出ている
- 下顎が出ている
- 歯並びが悪く思いっきり笑えない
- 歯の隙間から空気が抜けて発音が悪い
- 口がしっかり閉じられず口の中が乾く
矯正治療のメリット
虫歯や歯周病のリスクを下げることができます
歯並びが悪いと歯みがきがしにくく、磨き残しが多くなりがちです。そのため、虫歯や歯周病のリスクが高まり、口臭がきつくなる原因にもなります。
顎関節症のリスクを下げることができます
嚙み合わせが悪いと、顎への負担が大きくなり、軟骨をすり減らして顎関節症のリスクが高まります。
思いっきり笑えます
口元への視線が気になって思いっきり笑うことができないというお悩みをお持ちの方の心の負担を軽減できます。
その他、咀嚼が改善し胃腸の負担が減る、嚙み合わせが改善し肩こりが解消する、舌の機能が改善し発音が良くなるなど、全身の健康に様々な影響がある場合があります。
矯正治療の流れ
- まずはお気軽にスタッフにご相談ください。
- 希望があれば、次に検査を行います。(歯型取り、お口やお顔などの写真撮影、X線撮影等)
※費用:33,000円(税込)〜55,000円(税込) - 検査結果と治療計画をお伝えします。
- 矯正治療をスタートします。
- 通常1ヶ月に1回の通院で調整等を行います。
- 歯並びが整ったら矯正装置をはずし、歯並びが戻らないように保定装置を装着します。
矯正治療の費用
| 部分矯正 | 20~60万円+税 |
|---|---|
| 全顎矯正 | 90~120万円+税 |




